牙齿不平整图片
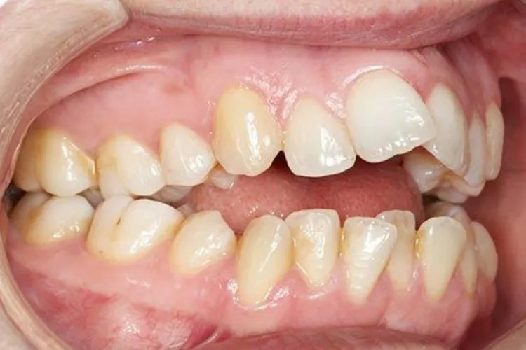
的有关信息介绍如下:概述牙齿不平整一般指错颌畸形,临床主要表现为牙齿排列形态上参差不齐、牙齿错位,常伴有颌骨、颅面的畸形,严重者可影响其功能。症状牙齿不平整的临床表现包括个别牙错位、牙弓形态和牙齿排列异常、颌面关系异常,具体如下:个别牙错位指个别牙偏离了正常位置,表现为个别牙出现错位、旋转、异位等症状。

牙弓形态和牙齿排列异常牙弓狭窄常表现为牙列拥挤,如出现在上颌牙弓,常见腭盖高拱;牙弓宽大常表现为牙齿稀疏,牙齿间有散在间隙;牙弓不对称由于牙弓左右两侧不对称,常表现为上下牙弓关系异常。



颌面关系异常如前牙反颌,表现为个别或多数下前牙位于对应的上前牙的唇侧;或者是前牙深覆颌,表现为上牙盖住下牙超过1/3。


病因牙齿不平整受遗传、环境、口腔不良习惯(如吮吸拇指)、替牙期异常(乳牙过早脱落)以及镇静剂药物的应用等因素影响所致。治疗治疗牙齿不平整的方法有预防性矫治、阻断性矫治、一般矫治、手术治疗。预防性矫治主要针对儿童,其主要措施有改变一些不好的生活习惯,如吮吸拇指;在乳牙脱落处安装间隙保持器等工具,为恒齿的生长留出足够的空间。阻断型性矫治在6-12岁这个年龄段内对乳牙和恒牙进行矫治,阻断性矫治采取拔牙和对其他牙齿进行重排以解决拥挤问题。一般矫治通常要用到托槽和保持器等矫正器械,一般以12-15岁为孩子矫正牙齿的最佳年龄段。手术治疗成年骨性畸形病人常需正颌手术治疗。



