癌细胞真实图片
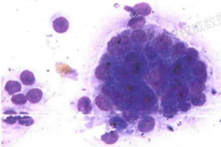
的有关信息介绍如下:概述癌是源于上皮组织的恶性肿瘤,癌细胞形状异常,大小形态差别较大,但少数分化很好的癌细胞与正常细胞较一致。形态特征癌是源于上皮组织的恶性肿瘤,病理学上主要分为鳞状细胞癌、腺癌及未分化癌三个类型。鳞状上皮细胞癌来源于鳞状上皮细胞的恶变,也可以通过鳞状上皮化生而形成鳞状细胞癌,简称鳞癌。癌细胞表现为核增大、核大小不一、核畸形、核深染、核质比异常等恶性肿瘤细胞的特点。细胞成堆或散在分布,一般根据细胞的分化程度,分为高分化鳞癌和低分化鳞癌。高分化鳞癌癌细胞以表层细胞为主,细胞分化程度高,表现为胞体大,常单个散在或成团;癌细胞呈多样性,如纤维状、蝌蚪状、多角形等。胞质多有角化倾向,染红色,有时可见癌珠。胞核畸形显著,核染色质增粗、深染,核仁增多不明显。

低分化鳞癌癌细胞以中、底层细胞为主,细胞分化程度低。表现为胞体小、大小不等,多呈圆形、卵圆形,也可见不规则形

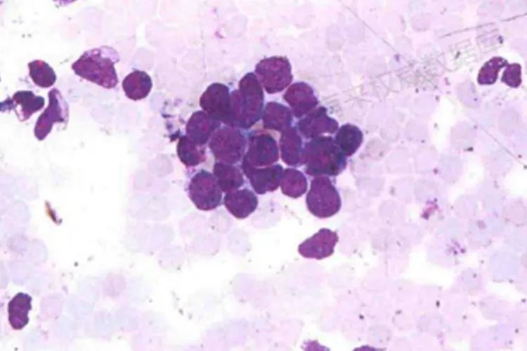
腺细胞癌来源于腺体、导管或分泌上皮细胞的恶变。腺癌细胞常成堆分布,呈桑葚状、花瓣状;胞质内常含有多少不等的黏液空泡,常将核挤于一侧,呈戒指状。与鳞癌细胞相比,核增大、核畸形、核深染、核质比增大不明显。一般根据细胞的分化程度将腺癌分为高分化腺癌和低分化腺癌。高分化腺癌胞体较大,大小不一,呈圆形、卵圆形,形态异形不明显,胞质丰富,可含有空泡,有时空泡将胞核挤于一侧,形成印戒样癌细胞;与鳞癌相比,核大、核畸形、核深染不明显。

低分化腺癌癌细胞多成堆、相互重叠,极性紊乱,易融合成团,胞体小;胞质少,呈嗜碱性,可有少量不明显的空泡;与高分化腺癌相比,核畸形、核深染明显。

未分化癌是指从形态学上难以确定其组织来源,癌细胞分化程度最低,但恶性程度最高的癌。细胞体积小,胞质也很少。一般根据癌细胞大小分为大细胞未分化癌和小细胞未分化癌。大细胞未分化癌胞体相当于外底层细胞大小,呈不规则圆形或卵圆形,胞核大、大小不一、畸形明显、染色深。

小细胞未分化癌癌细胞排列紧密,多成束出现;胞体小,胞质更少,似裸核,核质比增大显著;核呈不规则的圆形、瓜子形、燕麦形,核染色质粗、不均匀。

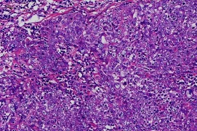
浸润与转移癌细胞具有浸润性与转移特性,正常细胞由于彼此间存在一定的黏着力,限制了细胞向附近及远处的扩散。而癌细胞表面细胞黏着与连接相关的成分发生变异或缺失,相关信号通路受阻,细胞失去与细胞间或细胞外基质间的联结,易于从原发部位脱落并且侵入周围组织,或侵入血液、淋巴组织,通过血液与淋巴液的循环,播散到身体的其他部分,造成癌的扩散与转移。



